
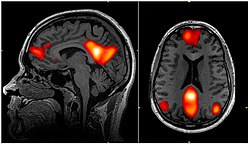
The Default Mode Network is best described as the brain state for when a person is not focused on external world, and instead brain it at wakeful rest. Think daydreaming and mind wandering. Primary brain structures involved are Medial Prefrontal Cortex, Posterior Cingulate Cortex, Precuneus, and Angular Gyrus.

In more technical terms, the Default Mode Network is a large-scale brain network that shows higher activity when an individual is at rest and not engaged in specific goal-directed tasks. It is associated with self-referential thinking, autobiographical memory, and envisioning the future. The network is thought to play a role in integrating internal and external information, as well as in social cognition.
- Medial Prefrontal Cortex supports self-referential processing, decision-making, and social cognition. It is involved in evaluating personal relevance of information and integrating emotional and cognitive aspects of experiences.
- Posterior Cingulate Cortex is responsible for integrating information from various brain regions, supporting memory retrieval, and contributing to self-referential thinking. Maintains coherent sense of self and personal identity.
- Precuneus plays a role in visuospatial imagery, episodic memory retrieval, and aspects of consciousness. It is involved in self-related mental representations and contributes to the overall functioning of the Default Mode Network.
- Angular Gyrus is involved in language processing, number processing, and spatial cognition. It contributes to the integration of sensory information and supports various cognitive functions, including aspects of memory and attention.
Interesting Cytoarchitecture
From Yana Log Notes, interesting lectures from Casey Paquola.
In essence, the Default Mode Network is not simply a “task negative” network ( it was originally assumed to be so due to inactivity during some “goal oriented” tasks ). It also recieves significant activity during memory related tasks, social cognition, and others. Those all depend on integration of internal and external information. That is a primary function of the Default Mode Network, as an association area.